Hi Fam,
Long term smoker here (I have been clean for past 5 years) but unfortunately I am still carrying the consequences. I have been having difficulty in breathing but it has exacerbated for about a week.
I went for a checkup and got an x-ray. Doc says that I might be having atelectasis but may need bronchoscopy for confirmation.
I did my online research on the topic and gathered info from a variety of different websites to understand the issue and possible remedies.
One site says that it can be due to Mucous Plug which can be drained via bronchoscopy
Other one says that it can be diagnosed via CT Scan
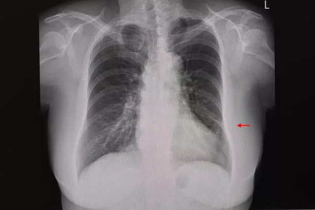
Another shows an x-ray which is quite similar to my case of Atelectasis
I have attached the image from there

I am already on supplemental oxygen when the breathing gets worse and by comparing my x-ray with those available online, I think my case isn't that bad.
I am having severe fear of any medical procedure so I want to avoid the bronchoscopy as much as possible.
What I want to ask is:
1. Has someone gone through a similar procedure or has a case similar to mine?
2. If yes, was it painful after the procedure and was the issue resolved in the same session or did you require multiple sessions?
3. Will a CT scan be a better or equivalent alternative to bronchosopy?
The thing is that the doc says that there is a chance that my issue can be diagnosed and fixed in the same session and if I opt-in for a CT then I may still require bronchoscopy so I am very much divided on what to choose next.
Any input will be highly appreciated!!
Thanks